website creation software

Jangan biarkan gigi berlubang!

Gigi berlubang merupakan masalah yang sering membuat banyak orang merasa kurang nyaman dan bahkan sering merasa sakit gigi. Munculnya gigi berlubang bisa disebabkan oleh banyak faktor terutama kebiasaan yang kurang baik dalam merawat gigi. Ketika gigi anda mulai berlubang biasanya ketika makan akan terasa kurang nyaman dan lebih parahnya lagi gigi yang berlubang tersebut akan semakin parah dan merusak jaringan gusi. Untuk itulah banyak orang yang lebih memilih melakukan tambal gigi agar gigi yang berlubang tersebut tidak semakin parah dan masih bisa digunakan untuk mengunyah makanan.

Penyebab & Perawatan


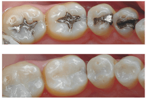
Gigi berlubang atau karies adalah masalah gigi yang paling sering ditemui di dalam mulut. Hampir setiap orang pernah bermasalah dengan gigi berlubang. Tenntunya gigi berlubang sangat mengganggu aktifitas kita, mulai dari ngilu saat minum dingin, sakit saat makan manis, hingga sakit nyut-nyutan pada malam hari.

Mobirise

Gigi berlubang perlu dilakukan penambalan sesegera mungkin untuk menghindari lubang yang bertambah besar dan dalam. Jika lubang sudah terlalu dalam hingga menembus saraf gigi maka harus dilakukan Perawatan Saluran Akar (PSA) dengan beberapa kunjungan. Jika lubang sudah terlalu besar dan tidak bisa di tambal, maka dengan terpaksa dilakukan pencabutan gigi.

Mobirise

Tentunya PSA dengan beberapa kunjungan sangat menyita waktu. Pencabutan gigi pun sangat merugikan karena kehilangan gigi dan harus membuat gigi tiruan sebagai pengganti dengan biaya yang tidak murah. Jika saat ini para pembaca merasa ada gigi yang berlubang segeralah kunjungi dokter gigi

Biaya nya mahal ya?

Untuk Penambalan Gigi hanya

Rp. 720.000

Untuk Penambalan Gigi & Scaling Gigi hanya

Rp. 710.000

Hanya Hari Ini

 ̶R̶p̶.̶ ̶7̶2̶0̶.̶0̶0̶0̶
Rp. 650.000

Penambalan Gigi untuk 2 Gigi

Tunggu apa lagi?

Jangan sampai promonya habis...

Penambalan Gigi untuk 2 Gigi

  650 .XXX
  • Harga Normal 7̶2̶0̶.̶0̶0̶0̶

Scaling Gigi & Tambal 1 Gigi

  595 .XXX
    • Harga Normal ̶7̶1̶0̶.̶0̶0̶0̶

    * Promo berlaku khusus di Global Estetik cabang ITC Depok.

    Dapatkan Promo
    Super Deal Hari Ini

    Saya mau tanya dulu...

    Mau tanya atau konsultasi? WA aja!

    Promo akan berakhir pada

    Bagaimana hasilnya?

    Mobirise

    Tunggu apa lagi?

    Jangan sampai promonya habis...

    © Copyright 2022 Global Estetik - All Rights Reserved